Diş Beyazlatma

Bleaching (Diş beyazlatma/Ağartma) Nedir?
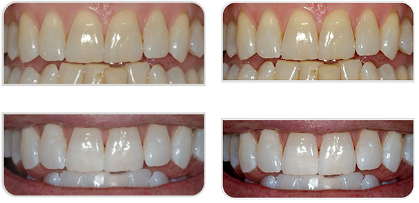
Her insanın nasıl ten rengi, göz rengi varsa, aynı şekilde diş rengi de vardır. Dişin rengi, ırka yaşa ve bulunduğu coğrafik bölgeye göre değişiklikler gösterir. Örneğin; siyahi ırkın dişleri bembeyaz iken beyaz ırkın dişleri daha sarıya yakın bir tondadır. Farklı nedenlerle de dişlerimizin rengi koyulaşabilir. Kullanılan ilaçlar, içilen suda ki flor miktarının yüksekliği, vb. Beyazlatma işlemi ya da bleaching, dişlerde oluşan renklenmeleri giderme işlemidir. Bir dişe ya da tüm dişlere uygulanabilir. Bleaching yönteminde doğal olan diş rengi yaklaşık 1-2 ton açılmaktadır.
Beyazlatma işlemi kesinlikle diş hekimi kontrolünde yapılmalı ve marketlerden alınan ucuz ürünlere rağbet edilmemelidir. İşlem için önce diş hekimi dişlerinizi muayene eder. Dişetlerinizde iltihap, dişlerinizde taş varsa önce bunların giderilmesi gerekir. Beyazlatma işleminin yapılması için, dişlerinizin muayenesi sırasında hekiminiz dişlerinizde çatlak ve minelerde aşırı aşınma görmemiş olmalıdır. Bunlar beyazlatma işlemi sonrasında çok fazla hassasiyet duymanıza sebep olabilir. Bleaching (dişleri beyazlatma) işlemi, dişeti tedavisinin bitiminde uygulanan dişlerin lekelerini giderme işleminden (Polütür) farklıdır. Polütür işlemiyle dişin üzerine yapışan çay, sigara gibi lekeler kaldırılır. Bleaching işleminde ise polütür işlemini takiben dişin asıl renginde 1-2 ton ağartma sağlanır.
Bleaching (Diş Beyazlatma) Yöntemleri
Günümüzde iki yöntem uygulanmaktadır; Home-Bleaching (evde uygulanan) ve Office-Bleaching (klinikte uygulanan) olarak adlandırılan bu yöntemler, bazı inatçı vakalarda beyazlatma (tetrasiklin renklenmeleri gibi) veya daha çok beyazlatma istendiğinde, birlikte de (kombine sistem) uygulanabilir.
Home-Bleaching; yönteminde hasta ilacı evde kendi kendine uygular. Uygulama süresi 7-14 gündür. Günde 6-8 saat uygulanmalıdır. Son yıllarda ilaç konsantrasyonundaki değişikliklere bağlı olarak günde 2-3 saatlik uygulamalarla da sonuç alınması mümkün hale gelmiştir. Hastadan alt-üst ölçü alınır ve bleaching için özel bir plak hazırlanır. Hasta ilacı plağa sürüp plağı istediği bir zaman diliminde -tercihen gece uyurken- ağzına takar. Home bleachingde kullanılan ağartma jelinin konsantrasyonu diş veya dişetlerine zarar vermemesi için düşük tutulmuştur.
Office-Bleaching yönteminde hekim, ilacı hastaya klinikte uygular. Ağız ortamında dişeti iltihabı ya da diştaşı, plak oluşumu var ise önceden tedavi edilmiş ve dişler hazırlanmış olmalıdır. Önce dişeti koruyucularınız ışık cihazıyla dişetlerinize uygulanır. Beyazlatma jeli tek tek dişlere sürülür ve 15 dakika ışık kaynağı uygulanır. Bu işlem 2 veya 3 kez tekrar edilir. İşlem ortalama 1 saat sürer. İlacın aktivasyonu ışık, sıcaklık ya da lazer ile yapılır. Sistemin etkinliği ışık ve sıcaklıkla doğru orantılı olarak artış gösterir. Bu sistem sigara içenlerde kullanılabilir ancak, işlem sonrası en az 48 saat boyunca sigara dahil birçok renklendirici ürünün kullanılmaması önerilir.
Kombine Sistem: Hastaya ilk olarak Home-Bleaching uygulanır, takiben Office-Bleaching uygulanarak tedavi tamamlanır. Bu yöntem, diş rengi tonunun koyu ve inatçı olduğu durumlarda daha etkili sonuç vermektedir.